200 East 33rd Street, Baltimore, MD 21218

Smile Gallery

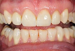
The image shows a person with a yellowish-brown discoloration on their teeth, which is likely the result of dental staining or decay.

Before

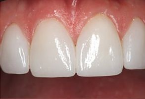
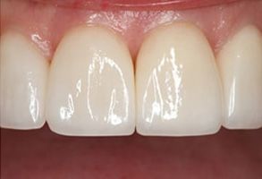
The image shows a close-up of a person s smiling mouth with teeth and gums, featuring a bright smile.

After

The image shows a close-up of a person s teeth with a focus on the lower front teeth, which appear to be in need of repair or replacement due to visible decay and damage.

Before

The image shows a close-up of a person s teeth, with the focus on a large gap between the front teeth and gums.

After

Smiling woman with straight white teeth, showcasing dental hygiene and cosmetic care.

Before

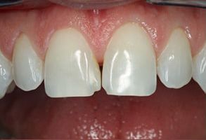
The image displays a close-up of a person s smile, showing white teeth and a partial tooth replacement in the upper left area.

After

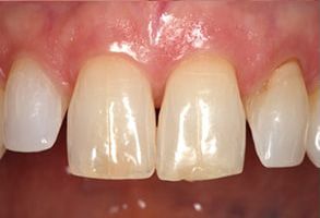
The image shows a close-up of a person s teeth with yellow staining, indicating the need for dental care or treatment.

Before

The image displays a close-up of a person s teeth with a focus on the upper front teeth, which are prominently displayed against a pinkish background.

After

Image showcases a close-up view of two teeth with yellow stains, set against a pinkish background.

Before

The image shows a close-up of a person s teeth with yellow staining, likely from smoking or other causes.

After

The image shows a close-up of a person s teeth with a focus on a large gap between the front teeth, which appear to be discolored or decaying.

Before

The image shows a close-up of a person s teeth, with the focus on a set of straight, white front teeth.

After

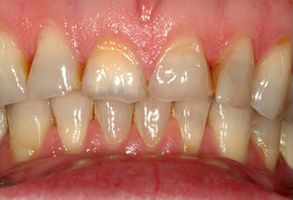
The image shows a close-up of an individual s teeth with a focus on the lower front teeth, which are yellowed and have fillings. There is visible staining and wear on the enamel, suggesting poor oral hygiene or dental neglect.

Before

The image shows a close-up view of a person s teeth, with the focus on a gap between two front teeth that appear to be missing or have been removed.

After